in diagnosing and treating skin cancer.
Skin cancer screening: Our physicians perform thorough total body skin examinations, from the top of your scalp to the tips of your toes, looking for any cancerous or pre-cancerous skin lesions. Our physicians are trained in dermoscopy, the latest technique that uses polarized light to reveal the specific structure of a mole or suspicious area. For high-risk patients, we use photography for �early detection of any changes-- one of the most sensitive indicators for skin cancer.
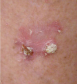
![]() Superficial basal cell carcinoma | ![]() Nodular basal cell carcinoma | ![]() Squamous cell carcinoma |
![]() Moderately atypical dysplastic nevus | ![]() Melanoma in situ | ![]() Amelanotic melanoma (no pigment) | ![]() Melanoma |
Who should have a skin cancer screening visit?
Anyone concerned about a skin growth should be checked for skin cancer. Most skin cancers are 100% curable if detected early; the American Cancer Society recommends annual skin cancer screening for everyone over the age of 50. If you are younger and have a history of sunburns or a lot of outdoor sun exposure, you should be examined, as should anyone with a first degree relative (parent, sibling, or child) with melanoma. Funny-looking or changing skin growths or moles should always be checked by a physician. While skin cancer is very rare in children, a changing or unusual-looking mole on a child should be checked.
How often should someone be screened?
How often you should be screened for skin cancer depends on many factors including your skin type, number of sunburns, age, number of moles or freckles, and level of sun damage. We will let you know at your visit how often your skin should be screened by a physician.



I have found this office to be very caring and punctual when they were treating my skin cancer. I found that I was very comfortable discussing my treatment plan with Dr. Weinfeld. She answered all my questions with lots of patience. 








